Ortodoncja jako fundament pięknego uśmiechu

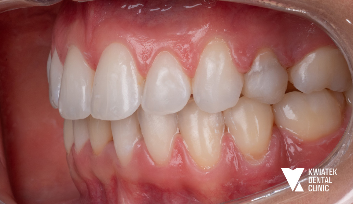
PRZED
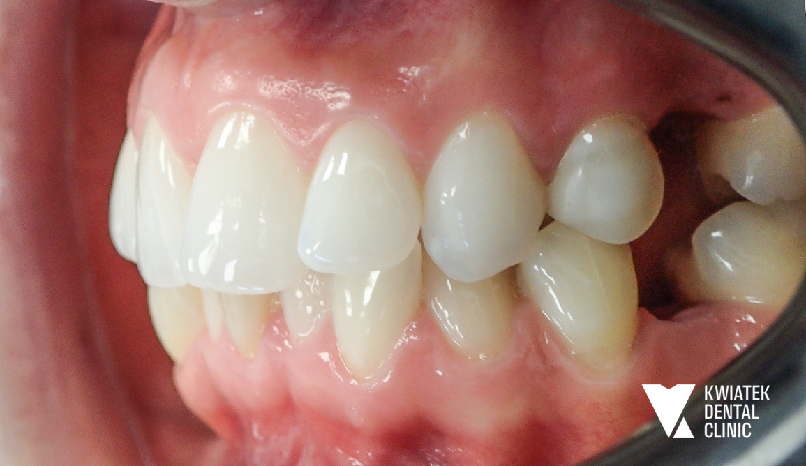
PO
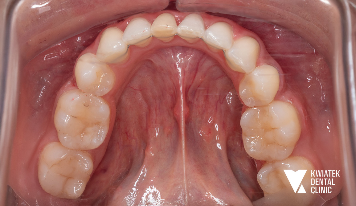
PRZED
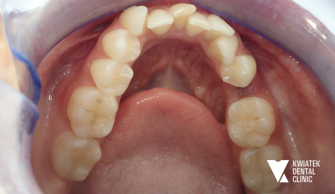
PO

Historia tej metamorfozy pokazuje, jak ogromne znaczenie ma kompleksowe podejście do leczenia stomatologicznego. Pacjentka zgłosiła się z chęcią poprawy estetyki uśmiechu, jednak już pierwsza konsultacja ujawniła, że kluczem do osiągnięcia trwałego efektu będzie nie tylko estetyka, ale przede wszystkim przywrócenie zdrowia i prawidłowej funkcji całego układu stomatognatycznego. To właśnie takie przypadki wymagają indywidualnego planu leczenia, cierpliwości oraz ścisłej współpracy Pacjentki z zespołem specjalistów.

Szczegółowa diagnostyka, obejmująca badanie kliniczne oraz zdjęcie panoramiczne, wykazała rozległe potrzeby lecznicze. Zidentyfikowano:

  • liczne ubytki próchnicowe oraz nieszczelne wypełnienia
  • konieczność leczenia kanałowego zębów 24 oraz 41
  • obecność zębów zatrzymanych i korzeni wymagających ekstrakcji
  • znaczne nagromadzenie kamienia nazębnego oraz niedostateczną higienę
  • wyraźne stłoczenia zębów, szczególnie w łuku dolnym
  • zaburzenia zgryzu oraz brak miejsca na odbudowy implantologiczne

Diagnostyka ortodontyczna potwierdziła dodatkowo przesunięcie linii pośrodkowej oraz niewystarczającą przestrzeń w łukach zębowych, co wymagało precyzyjnego planowania leczenia.

Aby osiągnąć trwały i estetyczny efekt, opracowano wieloetapowy plan leczenia obejmujący wszystkie niezbędne dziedziny stomatologii:

Etap przygotowawczy
Profesjonalna higienizacja oraz wdrożenie prawidłowych nawyków higienicznych, które stanowiły fundament dalszego leczenia.

Sanacja jamy ustnej
Kompleksowe leczenie zachowawcze, obejmujące usunięcie próchnicy, wymianę wypełnień oraz precyzyjne leczenie kanałowe pod mikroskopem.

Leczenie chirurgiczne
Usunięcie zębów zatrzymanych oraz zębów kolidujących z planem ortodontycznym, przeprowadzone etapowo z kontrolą procesu gojenia.

Leczenie ortodontyczne
Zastosowanie aparatu stałego samoligaturującego, który umożliwił:

  • wyrównanie stłoczeń
  • zamknięcie przestrzeni po ekstrakcjach
  • korektę relacji zgryzowych
  • przywrócenie harmonii łuków zębowych

W trakcie terapii wykorzystano zaawansowane mechaniki ortodontyczne, takie jak wyciągi międzyszczękowe, elementy kontrolujące ruch zębów oraz indywidualnie dobrane sekwencje łuków.

Etap retencji
Po zakończeniu leczenia aktywnego zastosowano retainery stałe oraz ruchome, aby utrwalić uzyskany efekt i zapewnić jego długoterminową stabilność.

 

Efekt końcowy to pełna metamorfoza uśmiechu zarówno pod względem zdrowotnym, jak i estetycznym.

Uzyskano:

  • eliminację ognisk próchnicy i stanów zapalnych
  • odbudowę funkcji zębów
  • prawidłowe ustawienie zębów w łukach
  • zamknięcie przestrzeni po ekstrakcjach
  • poprawę relacji zgryzowych
  • naturalny, harmonijny uśmiech

To leczenie pokazuje, że prawdziwa estetyka jest wynikiem precyzyjnie zaplanowanej i starannie przeprowadzonej terapii funkcjonalnej. Każdy etap miał swoje znaczenie, każdy detal został dopracowany, a efekt końcowy to nie tylko piękny uśmiech, ale przede wszystkim zdrowie, stabilność i komfort na długie lata.

To metamorfoza, która wyznacza standardy i udowadnia, że nawet najbardziej wymagające przypadki mogą zakończyć się spektakularnym efektem, jeśli za leczeniem stoi doświadczenie, wiedza i najwyższa jakość pracy.

Powyższe zdjęcia mają charakter informacyjny i obrazują efekty leczenia stomatologicznego u jednego z pacjentów. Zakres terapii dobierany jest indywidualnie – rezultaty mogą się różnić w zależności od stanu zdrowia, diagnozy i planu leczenia.
Masz pytania?
Chcesz umówić się na wizytę?
Zadzwoń do nas