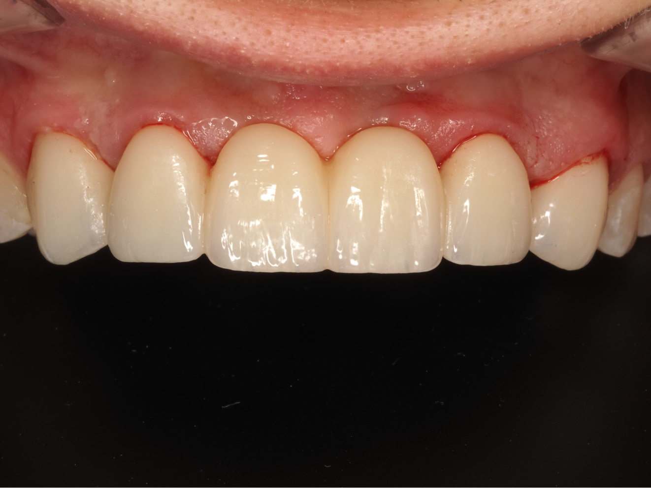
Implant zęba to najczęściej tytanowa śruba, która zastępuje korzeń zęba i jest chirurgicznie umieszczana w kości szczęki. Po zrośnięciu się implantu z tkanką kostną mocowana jest na nim korona protetyczna – czyli widoczna część nowego zęba. Dzięki temu całe leczenie implantologiczne zapewnia naturalny wygląd i przywraca funkcjonalność, jaką mają naturalne zęby.
To ile kosztuje implant zęba, zależy od wielu czynników. W naszej Klinice średnia cena za sam pojedynczy implant (tytanową śrubę) wynosi zazwyczaj 3500 do 4600 zł, Do tego należy doliczyć koszt korony protetycznej. W przypadku korony pełnoceramicznej – uważanej za najwyższy standard – jest to kolejny wydatek rzędu 3500-4100 zł.
Ostateczny koszt leczenia może wzrosnąć, jeśli konieczne są dodatkowe procedury. Na ostateczną cenę implantu zęba mogą wpłynąć dodatkowe zabiegi regeneracyjne, takie jak augmentacja kości (odbudowa kości) czy podniesienie dna zatoki szczękowej.
Pacjenci często traktują implanty zębowe jako duży wydatek. Warto jednak spojrzeć na leczenie implantologiczne inaczej: to inwestycja w zdrowie, komfort życia i pewność siebie, która prowadzi do odzyskania pięknego uśmiechu.
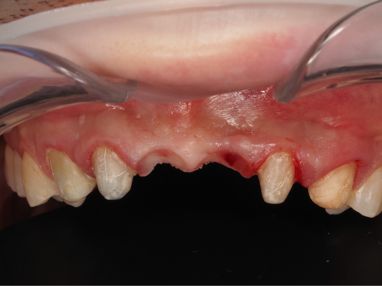
Często nie zdajemy sobie sprawy, że utrata zęba to nie tylko problem estetyczny. Szybkie uzupełnienie braków za pomocą implantu zęba jest kluczowe, aby zapobiec dalszym konsekwencjom zdrowotnym i zapewnić pełną odbudowę uzębienia.
*Efekty zabiegów przedstawione na zdjęciach są rezultatem indywidualnego procesu leczenia i mogą być różne u innych osób.
Zanik kości szczęki – Kość szczęki w miejscu brakującego zęba zanika, ponieważ nie jest naturalnie obciążana. Powoduje to, że twarz traci naturalne podparcie, policzki mogą opadać, a to prowadzi do zmiany rysów i starczego wyglądu.
Przesuwanie się sąsiednich zębów - zęby dążą do zamknięcia luki, co prowadzi do zaburzeń zgryzu, nieprawidłowych kontaktów między zębami, napięć mięśniowych, a nawet bólów głowy.
Problemy z gryzieniem – pacjenci zaczynają unikać gryzienia po stronie, gdzie brakuje zębów, co prowadzi do przeciążenia drugiej strony, jaką tworzy łuk zębowy, oraz do nadmiernego ścierania się i pękania zdrowych zębów.
Wysuwanie się zębów przeciwstawnych (tzw. zjawisko Godona) – ząb z przeciwległej szczęki, nie mając oparcia, zaczyna wysuwać się z zębodołu. Utrudnia to, a czasem uniemożliwia późniejsze wszczepienie implantu z powodu braku miejsca na koronę.
Utrata zęba uruchamia lawinę problemów. Procesów tych często nie da się cofnąć, a jedynie zatrzymać poprzez uzupełnienie braków implantem. Długotrwałe zwlekanie z decyzją może znacząco utrudnić i podnieść całkowity koszt przyszłego leczenia implantologicznego.
Najczęściej pierwszymi utraconymi zębami są tzw. „szóstki” – czyli pierwsze zęby trzonowe. Ze względu na wczesne wyrzynanie i trudniejszą higienę, często ulegają one zniszczeniu, a ich utrata w dorosłym wieku jest statystycznie bardzo częsta.
„Szóstki” to jednak nasze największe i najsilniejsze zęby, stworzone po to, by przejmować główne siły zgryzowe. Ich brak zaburza równowagę całego zgryzu i ma poważne konsekwencje dla pozostałych zębów:
Choć utraconej „szóstki” może nie widać w uśmiechu, koszt jej braku w perspektywie czasu jest ogromny. Zdecydowanie przewyższa on cenę implantu zęba.
*Zdjęcia 'przed i po' mają charakter informacyjny i ilustrują potencjalne rezultaty zabiegów.
Pacjenci, którzy rozważają uzupełnienie braków w uzębieniu, często wahają się między implantem zęba a rozwiązaniami takimi jak mosty protetyczne czy protezy ruchome. Warto jednak wiedzieć, że w porównaniu z nowoczesnym leczeniem implantologicznym, zarówno most protetyczny, jak i tradycyjne protezy są rozwiązaniami kompromisowymi.
Podobny koszt – większa wartość biologiczna
Aby uzupełnić jeden brakujący ząb za pomocą mostu protetycznego, najczęściej trzeba wykonać konstrukcję trójpunktową. Całkowity koszt takiego rozwiązania jest zbliżony do ceny implantu zęba z koroną, jednak implanty zębowe pozwalają zachować integralność sąsiednich zębów.

*Prezentowane zdjęcia przedstawiają efekty wybranych zabiegów u konkretnych pacjentów i mają charakter poglądowy. Efekty leczenia mogą się różnić w zależności od indywidualnych uwarunkowań.

Oszczędność tkanek – brak ingerencji w zdrowe zęby
Założenie mostu protetycznego wymaga oszlifowania sąsiednich, często zupełnie zdrowych zębów, które stają się filarami konstrukcji. Wszczepienie implantu pozwala tego uniknąć -to uzupełnienie braków bez ingerencji w strukturę sąsiednich zębów.
Higiena i trwałość
Pojedynczy implant zęba z koroną funkcjonuje jak naturalny ząb i jest łatwy w oczyszczaniu. Most protetyczny, jako konstrukcja zespolona, utrudnia higienę, co może prowadzić do stanów zapalnych dziąseł i skrócenia jego żywotności.

Choć protezy ruchome są rozwiązaniem budżetowym, niosą za sobą szereg bardzo istotnych kompromisów. W przeciwieństwie do implantów zębowych, które zapewniają stabilne osadzenie, tradycyjne protezy nie są idealnym rozwiązaniem:
Postępujący zanik kości – brak fizjologicznego obciążenia (zębami) powoduje resorpcję wyrostka zębodołowego - nieużywany narząd zanika.
Obciążenie i uszkodzenie zębów filarowych – zęby, na których opierają się klamry, są narażone na przeciążenia, niszczenie przyzębia, a nawet rozchwianie i ich finalną utratę.
Niski komfort użytkowania – ruchoma proteza nie dorównuje stabilnością i funkcjonalnością rozwiązaniom stałym, takim jak korony protetyczne osadzone na implantach.
Jeśli warunki w kości szczęki i ogólny stan zdrowia pacjenta pozwalają na kompleksowe leczenie, warto je rozważyć jako pierwszy wybór. Pojedynczy implant zęba lub odbudowa całego uzębienia nie tylko przywraca estetykę i funkcję, ale też pozwala zachować zdrowie pozostałych struktur jamy ustnej. W dłuższej perspektywie przekłada się to na trwałość, wygodę i ogólny komfort życia.
Wysoki całkowity koszt leczenia implantologicznego może być barierą, jednak istnieje kilka sposobów na jego optymalne zaplanowanie.
Pierwszym krokiem jest konsultacja implantologiczna z lekarzem stomatologiem. Podczas tej wizyty poznasz szczegółowy plan leczenia i jego pełną wycenę.
Pamiętaj, że cały proces leczenia implantologicznego jest rozłożony w czasie, co pozwala rozplanować wydatki na poszczególne etapy.
Pamiętaj, implant zęba to nie tylko piękny uśmiech - to inwestycja w Twoje zdrowie, stabilność zgryzu i pewność siebie.
Zamiast pytać „ile kosztuje implant zęba?”, „ile kosztują implanty całej szczęki" warto zadać sobie pytanie: „ile kosztują konsekwencje braku zęba?”.
Umów się na wizytę! Konsultacja implantologiczna to najlepszy sposób, aby poznać indywidualny plan leczenia i dowiedzieć się, jakie rozwiązanie będzie dla Ciebie najlepsze.
1. Czy wszczepienie implantu zęba boli?
Sam zabieg chirurgiczny jest bezbolesny, ponieważ wykonuje się go w znieczuleniu miejscowym. Dyskomfort może pojawić się po zabiegu, jednak jest skutecznie łagodzony przez standardowe środki przeciwbólowe i ustępuje w ciągu kilku dni.
2. Jakie są główne rodzaje implantów zębowych?
Najpopularniejsze rodzaje implantów to implanty tytanowe, które są standardem w implantologii ze względu na doskonałą biokompatybilność
3. Jak długo trwa leczenie implantologiczne?
Cały proces, od wszczepienia do założenia korony, zależy od indywidualnych warunków pacjenta. Proces gojenia i integracji implantu z kością trwa zazwyczaj od 3 do 6 miesięcy.
4. Czy choroby przewlekłe są przeciwwskazaniem?
Niektóre choroby przewlekłe, jak nieuregulowana cukrzyca czy zaawansowana osteoporoza, mogą stanowić przeciwwskazanie względne. Przy odpowiedniej kontroli lekarskiej nie wyklucza się możliwości leczenia.
Informacje zawarte w artykułach nie powinny być traktowane jako instrukcje leczenia konkretnych schorzeń. W przypadku problemów zdrowotnych należy skonsultować się z lekarzem.