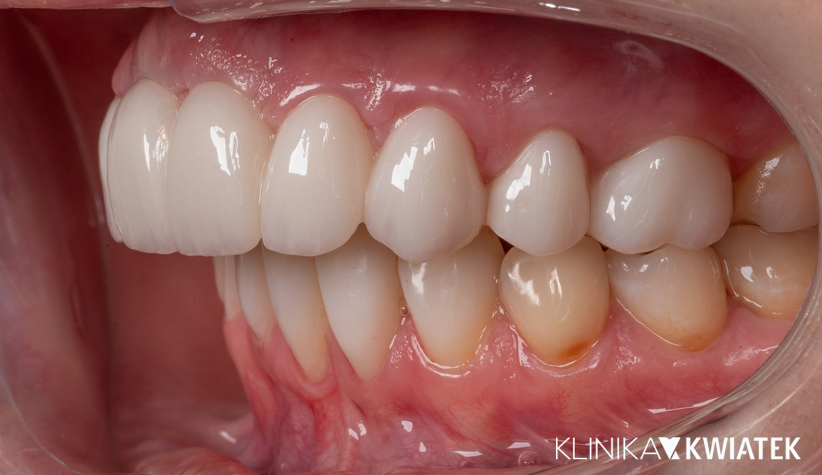
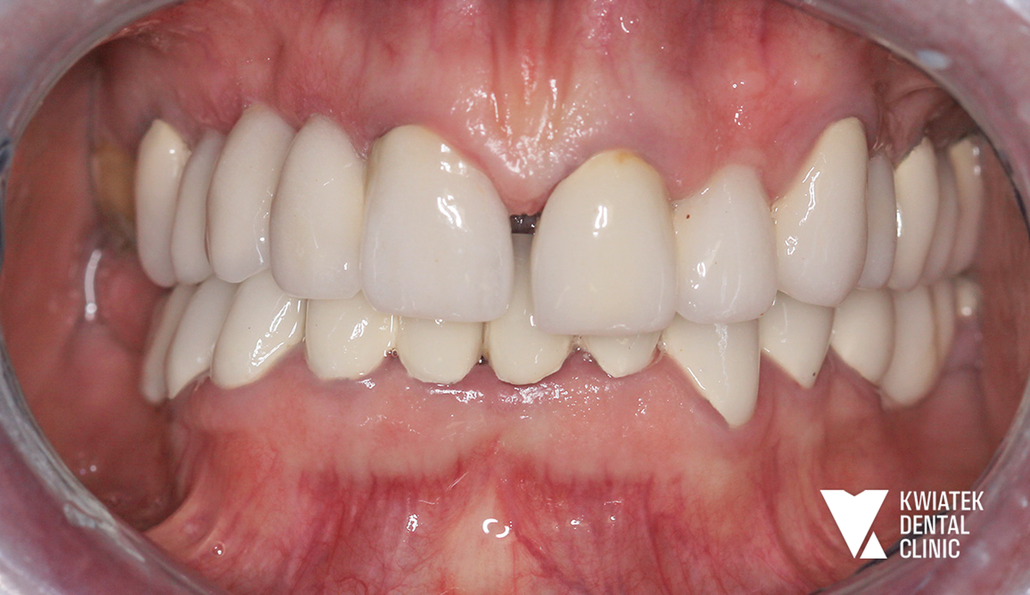
Wybrane metamorfozy

Nowość!
Pełna rekonstrukcja zwarcia i estetyki - historia wymagającej metamorfozy
Historia zaufania i precyzji - nowoczesna protetyka w wymagającym przypadku klinicznym
Zaawansowana rekonstrukcja zgryzu z wykorzystaniem implantów i chirurgii regeneracyjnej
Pełnołukowa odbudowa na implantach - spektakularna zmiana funkcji i estetyki

Obecnie prowadzone badania

Porównanie wyników leczenia z zastosowaniem implantacji standardowej, implantacji ze śrubą gojącą, koroną tymczasową PMMA, koroną tymczasową kompozytową
Periimplantitis - leczenie według standardu KK - zastosowanie Airflow Prophylaxis Master, membrany PRF, zmiana łącznika na cerkonowy
Badanie porównawcze zastosowania techniki odbudowy całego łuku zębowego za pomocą 4 i 6 implantów i uzupełnienia stałego - obserwacje 1,2,3,4,5 letnie

Nagrody i wyróżnienia

Międzynarodowy Konkurs Smile of The Year 2025 by Dental Tribune
- Międzynarodowy Konkurs Smile of The Year 2025 by Dental Tribune

Tak mówią o nas Pacjenci

Masz pytania?
Chcesz umówić się na wizytę?
Zadzwoń do nas