Metamorfoza wymagająca precyzji: ortodoncja, implanty i estetyka

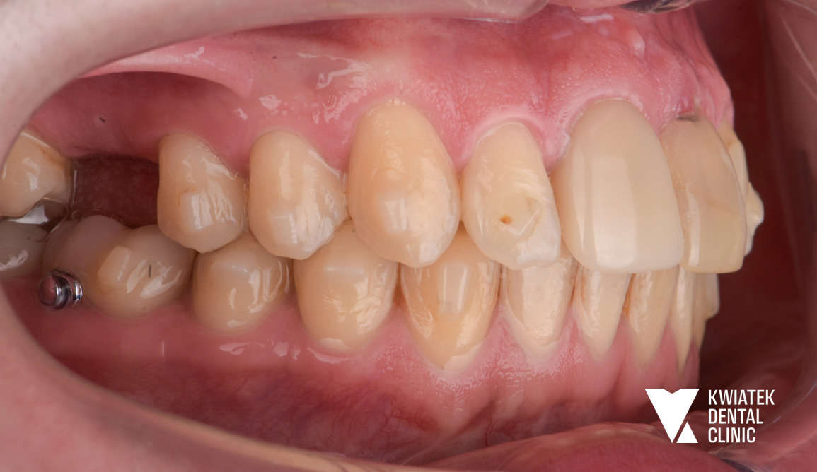
PRZED
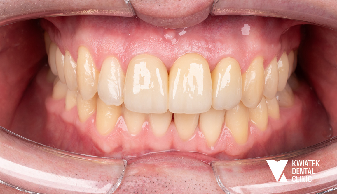
PO
PRZED
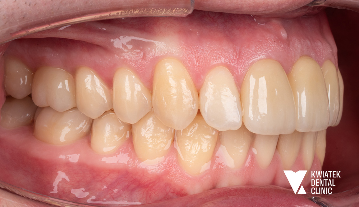
PO

Przypadek Pacjenta stanowi przykład zaawansowanego, wieloetapowego leczenia stomatologicznego, wymagającego ścisłej współpracy zespołu specjalistów z zakresu stomatologii zachowawczej, endodoncji, ortodoncji, protetyki oraz chirurgii implantologicznej. Pacjent zgłosił się do kliniki z powikłaniami po wcześniejszym, niedokończonym leczeniu ortodontycznym, a także po przebytym urazie skutkującym zmianami w obrębie stawu skroniowo-żuchwowego oraz ograniczeniem możliwości szerokiego otwierania jamy ustnej.
Proces leczenia rozpoczęto od szczegółowej diagnostyki obrazowej, obejmującej zdjęcia panoramiczne oraz tomografię CBCT. W badaniu stwierdzono m.in. resorpcję przyszyjkową zęba 21 o niekorzystnym rokowaniu, resorpcję wewnętrzną zęba 22, złamanie korony zęba 11 po leczeniu kanałowym oraz brak zęba 16. Dodatkowo rozpoznano wadę zgryzu klasy II Angle’a, zgryz krzyżowy oraz zaburzenia symetrii łuków zębowych. Diagnostyka wykazała również liczne ubytki próchnicowe oraz nieprawidłowe wypełnienia wymagające korekty.
Na podstawie zebranych danych opracowano kompleksowy plan leczenia obejmujący:

  • leczenie zachowawcze i endodontyczne zębów objętych zmianami próchnicowymi i resorpcyjnymi
  • odbudowę zębów przy użyciu wkładów z włókna szklanego i koron protetycznych
  • ekstrakcję zębów o złym rokowaniu, w tym zęba 21 oraz zębów mądrości
  • leczenie ortodontyczne z zastosowaniem nowoczesnego aparatu nakładkowego
  • odbudowę braków zębowych przy użyciu implantów wraz z procedurami augmentacyjnymi
    Plan uwzględniał zarówno poprawę funkcji narządu żucia, jak i osiągnięcie optymalnego efektu estetycznego.

 

Leczenie rozpoczęto od przygotowania jamy ustnej poprzez profesjonalną higienizację oraz eliminację ognisk próchnicy. Następnie przeprowadzono leczenie endodontyczne zęba 22 z wykorzystaniem mikroskopu, a także odbudowę zęba 11 z zastosowaniem wkładu koronowo-korzeniowego i korony tymczasowej.

W kolejnym etapie wykonano ekstrakcje zębów o niekorzystnym rokowaniu, w tym zęba 21 oraz zębów mądrości, które stanowiły potencjalne źródło powikłań. Równolegle prowadzono leczenie zachowawcze obejmujące wymianę nieszczelnych wypełnień oraz odbudowę ubytków w zębach bocznych.

Po przygotowaniu jamy ustnej rozpoczęto leczenie ortodontyczne z wykorzystaniem systemu nakładkowego. Terapia obejmowała korektę nagryzu poziomego, poprawę okluzji oraz ustawienia zębów w obu łukach. Leczenie było regularnie monitorowane, a Pacjent stosował wyciągi ortodontyczne zgodnie z zaleceniami.

Po zakończeniu aktywnej fazy leczenia ortodontycznego przystąpiono do etapu implantologicznego. W miejscu brakującego zęba 16 wykonano podniesienie dna zatoki szczękowej metodą zamkniętą oraz wszczepiono implant z jednoczesną augmentacją kości. Następnie przeprowadzono implantację w miejscu zęba 21, poprzedzoną atraumatyczną ekstrakcją oraz odbudową kości materiałem kościozastępczym. Zabiegi wykonano w pełnej nawigacji z użyciem szablonów chirurgicznych, co zapewniło maksymalną precyzję.

Efektem leczenia jest kompleksowa odbudowa funkcji narządu żucia oraz estetyki uśmiechu. Uzyskano prawidłowe relacje zgryzowe, poprawę symetrii łuków zębowych oraz stabilne warunki pod odbudowy protetyczne. Implanty zapewniły trwałe uzupełnienie braków zębowych, a leczenie ortodontyczne umożliwiło harmonijne ustawienie zębów.

Metamorfoza Pacjenta to przykład nowoczesnego, interdyscyplinarnego podejścia, w którym każdy etap leczenia został precyzyjnie zaplanowany i wykonany, prowadząc do naturalnego, estetycznego i funkcjonalnego efektu końcowego.

Powyższe zdjęcia mają charakter informacyjny i obrazują efekty leczenia stomatologicznego u jednego z pacjentów. Zakres terapii dobierany jest indywidualnie – rezultaty mogą się różnić w zależności od stanu zdrowia, diagnozy i planu leczenia.
Masz pytania?
Chcesz umówić się na wizytę?
Zadzwoń do nas