Korony zębów przed i po – naturalna odbudowa uśmiechu

Uszkodzone, starte lub osłabione zęby nie muszą oznaczać końca pięknego uśmiechu. Dzięki nowoczesnym technikom protetycznym możliwa jest estetyczna i trwała odbudowa przy użyciu koron. W tej sekcji prezentujemy efekty: korony zębów przed i po, zarówno przy pojedynczych rekonstrukcjach, jak i pełnych metamorfozach, w tym na implantach.


Nowość!
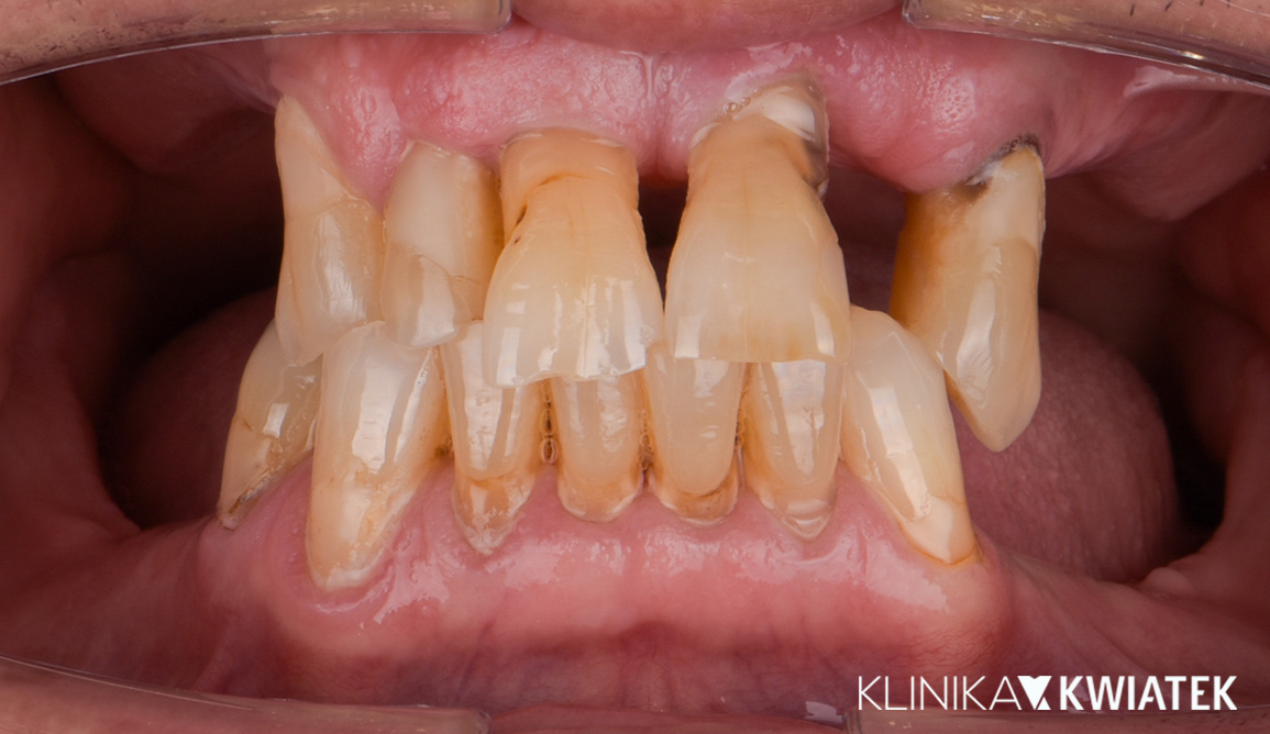
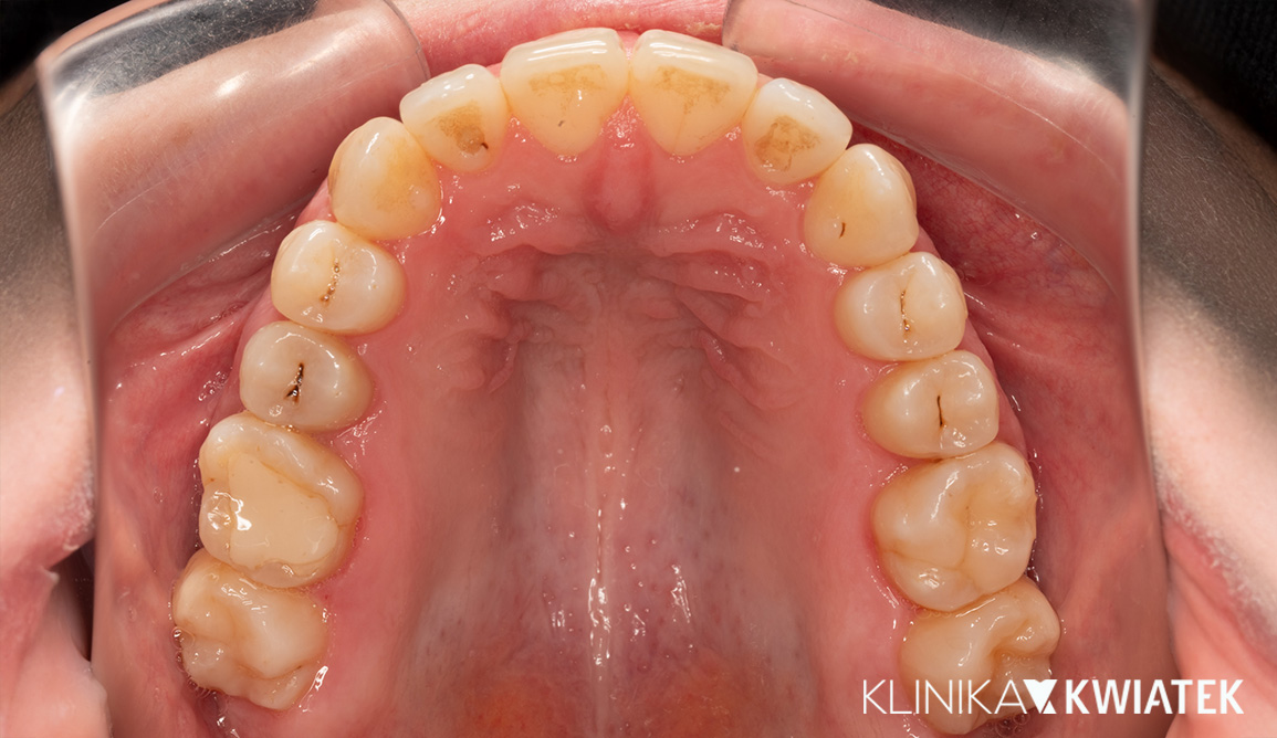
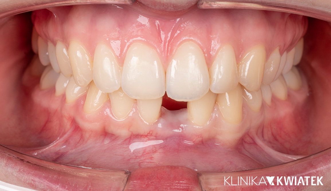
PRZED
PO
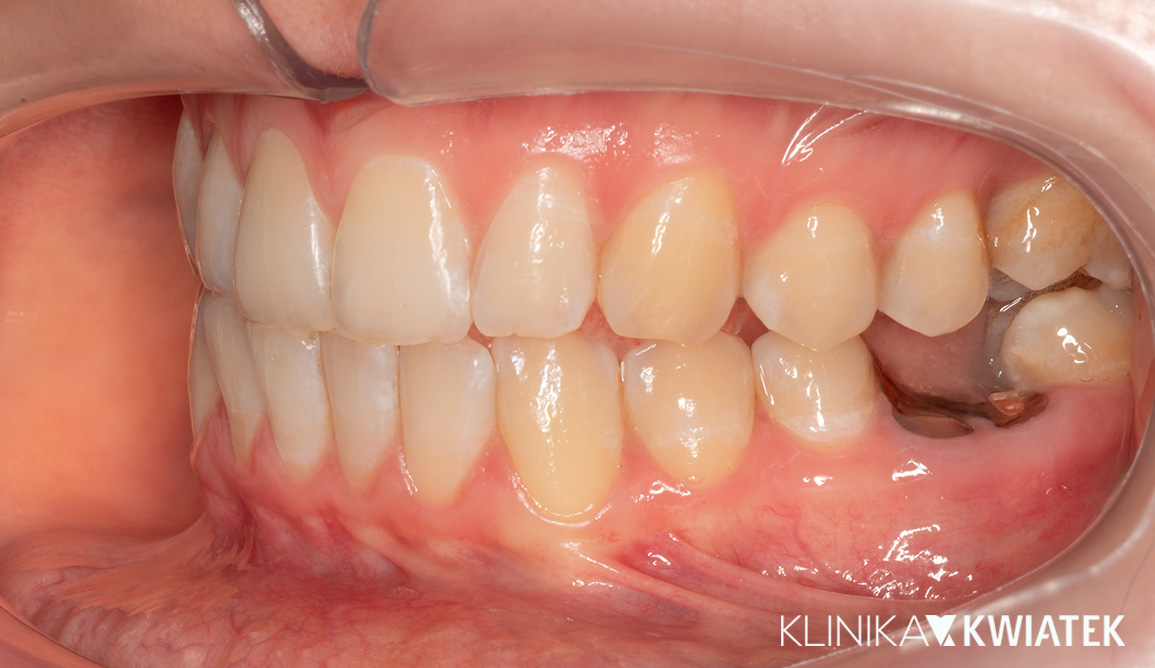
PRZED
PO

Metamorfoza wymagająca czasu i precyzji - zdrowie, estetyka i stabilność

Pacjentka zgłosiła się z problemem recesji dziąseł, wadą zgryzu, brakiem zawiązka zęba 34 oraz potrzebami leczenia zachowawczego. Terapia obejmowała wieloetapowe, kompleksowe leczenie: profesjonalne higienizacje, leczenie zachowawcze, ortodoncję nakładkową, zabiegi chirurgiczne oraz implantację z odbudową protetyczną. Efektem jest zdrowy, stabilny zgryz, prawidłowe warunki przyzębia oraz estetyczna i funkcjonalna odbudowa brakującego zęba.

Nowość!
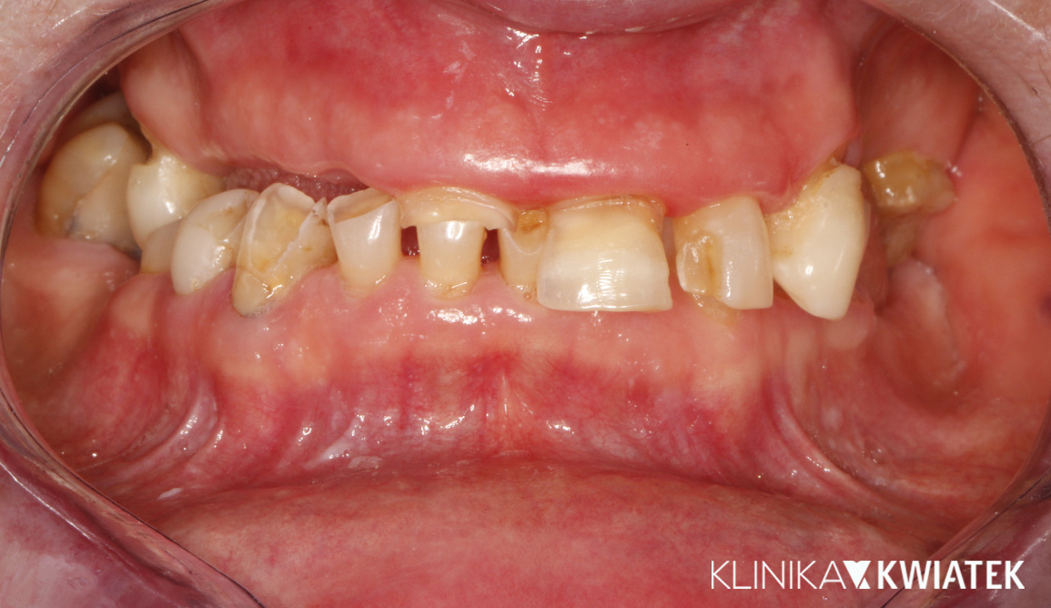
PRZED
PO
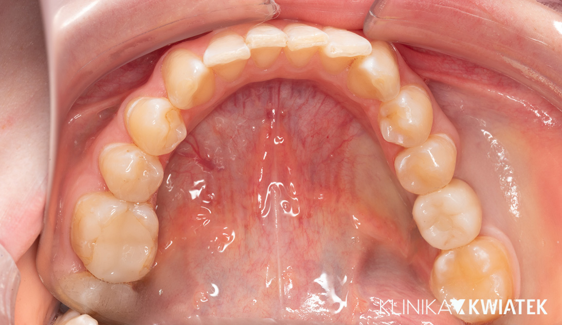
PRZED
PO

Spektakularna odbudowa uśmiechu: zaawansowana regeneracja tkanek i perfekcyjna estetyka protetyczna

Pan Jakub zgłosił się do naszej kliniki z wieloletnim problemem dotyczącym zęba 21, obejmującym znaczne uszkodzenie kości i nieszczelną starą koronę. Po pełnej diagnostyce przeprowadzono zaawansowaną regenerację tkanek oraz kompleksowe leczenie protetyczne, zakończone wykonaniem licówki 11 i pełnoceramicznej korony 21. Efekt końcowy to zdrowe przyzębie, stabilna odbudowa i estetyczny, naturalny uśmiech.

Nowość!
PRZED
PO
PRZED
PO

Totalna Rehabilitacja Uśmiechu - Precyzyjna Odbudowa Implantoprotetyczna

Pacjentka zgłosiła się z rozległymi brakami zębowymi, stanami zapalnymi, nieprawidłowym zgryzem oraz trudnościami higienizacyjnymi, które znacząco wpływały na estetykę i funkcję jamy ustnej. Dzięki pracy naszego zespołu specjalistów przeprowadzono kompleksową diagnostykę, serię higienizacji, implantacje w nawigacji komputerowej oraz pełną odbudowę protetyczną - od prac tymczasowych aż po finalne korony i mosty pełnoceramiczne. Efektem jest stabilny, harmonijny i estetyczny uśmiech oraz prawidłowa, komfortowa funkcja żucia.

Nowość!
PRZED
PO
PRZED
PO

Jak odbudować uśmiech przy braku zawiązków? Kompleksowy przypadek chirurgiczno-protetyczny

Pacjentka zgłosiła się z brakami zębowymi, w tym brakami zębów bocznych, brakiem zawiązka prawej górnej trójki oraz zatrzymanym zębem 23, co zaburzało estetykę uśmiechu i prawidłową funkcję zgryzu. Kompleksowe leczenie obejmowało implantację, regeneracje kości, re-endodoncję, korektę tkanek miękkich oraz pełną rekonstrukcję protetyczną. Ostatecznie uzyskano stabilny, funkcjonalny i estetyczny uśmiech, który w pełni kompensuje wrodzone braki zębowe.

Nowość!
PRZED
PO
PRZED
PO

Koordynacja leczenia kilku specjalistów - uśmiech zaplanowany od A do Z

Pacjentka zgłosiła się z licznymi ubytkami, znacznym starciem zębów oraz objawami przeciążenia zgryzu wynikającymi z wieloletniego zaciskania i zgrzytania. Po pełnej diagnostyce przeprowadzono higienizację, leczenie zachowawcze, endodontyczne i szynoterapię, a następnie ortodoncję oraz finalną odbudowę estetyczno-protetyczną wszystkich startych powierzchni zębów. Efektem jest stabilny, zdrowy zgryz, prawidłowa praca stawów oraz harmonijny, trwały i estetyczny uśmiech Pacjentki.

Nowość!
PRZED
PO
PRZED
PO

Precyzja, plan i efekt - metamorfoza uśmiechu w nowoczesnej stomatologii

Pacjentka zgłosiła się do naszej kliniki z licznymi problemami stomatologicznymi: rozległą próchnicą, koniecznością powtórnego leczenia endodontycznego oraz brakami zębowymi wpływającymi na estetykę i funkcję żucia

 Zastosowano kompleksowy, wieloetapowy plan obejmujący higienizację,wybielanie, leczenie zachowawcze, implantologię, ortodoncję oraz protetykę. Efektem jest w pełni funkcjonalny, estetyczny i zdrowy uśmiech Pacjentki.

Nowość!
PRZED
PO
PRZED
PO

Nowy uśmiech bez ortodoncji - kompleksowa odbudowa estetyczna i funkcjonalna

Pacjentka zgłosiła się ze zgryzem krzyżowym, brakiem zawiązka prawj górnej dwójki oraz niezadowalającą estetyką wcześniejszych koron. Zrezygnowała z leczenia ortodontycznego, dlatego zaplanowano kompleksową rehabilitację protetyczną opartą na pełnoceramicznych koronach CAD/CAM oraz szynoterapii okluzyjnej. Efektem jest harmonijny, stabilny zgryz, poprawa estetyki uśmiechu oraz znaczne zmniejszenie napięć mięśniowych.

PRZED
PO
PRZED
PO

Kiedy ząb nie ma już szans… wykorzystujemy potencjał implantologii - odbudowa 26

Kategoria: Implanty, Korony i mosty

Pacjentka zgłosiła się z nawracającymi dolegliwościami bólowymi oraz zmianą okołowierzchołkową przy zębie 26. Pomimo podjętej próby powtórnego leczenia kanałowego pod mikroskopem, nie udało się wyleczyć zęba, dlatego zadecydowano o jego ekstrakcji i wykonaniu odbudowy implanto-protetycznej. Finalnie przeprowadzono implantację MIS z augmentacją oraz osadzono pełnokonturową koronę cyrkonową, przywracając pełną funkcję i estetykę.

PRZED
PO
PRZED
PO

Kliniczny majstersztyk: rewolucja w jamie ustnej, w której marzenie pacjenta stało się perfekcyjnie zaprojektowaną rzeczywistością

Pacjent zgłosił się do nas z uśmiechem, który od dawna nie dawał mu ani pewności siebie, ani komfortu: liczne ubytki, stan zapalny, braki zębowe i zgryz krzyżowy sprawiały, że każdy dzień zaczynał od ograniczeń. Jego pragnieniem było odzyskać piękno uśmiechu, ale także spokój i swobodę, których brakowało mu od lat.

Po pogłębionej diagnostyce stworzyliśmy spersonalizowany, wieloetapowy plan leczenia, obejmujący kompleksową higienizację, zaawansowaną odbudowę zachowawczą i endodontyczną, atraumatyczne ekstrakcje, precyzyjne leczenie ortodontyczne systemem Spark oraz implanty w kluczowych strefach estetycznych i funkcjonalnych. Całość przygotowała idealne warunki pod finalną pracę protetyczną.

Efekt? Zdrowa jama ustna, stabilny zgryz, perfekcyjnie zaprojektowane podparcie dla przyszłych uzupełnień oraz uśmiech, który zmienił sposób, w jaki Pacjent patrzy na siebie. To transformacja, która udowadnia, że marzenia o pięknym uśmiechu naprawdę mogą stać się rzeczywistością.

PRZED
PO
PRZED
PO

Rehabilitacja zgryzu i odbudowa braków - pełna ścieżka terapeutyczna Pacjenta

Pacjent zgłosił się z bardzo złym stanem higieny, licznymi ubytkami, zmianami okołowierzchołkowymi oraz rozległymi brakami zębowymi, które uniemożliwiały prawidłowe funkcjonowanie i estetykę uśmiechu. Rozpoczęto od sanacji jamy ustnej, leczenia zachowawczego i endodontycznego, a następnie przeprowadzono ekstrakcje, leczenie ortodontyczne, implantologiczne oraz kompleksową odbudowę protetyczną. Zakończone leczenie pozwoliło przywrócić pełną funkcję żucia, stabilny zgryz i estetyczny, harmonijny uśmiech.

Masz pytania?
Chcesz umówić się na wizytę?
Zadzwoń do nas