Historia uśmiechu Pana Rafała to proces, który rozwijał się na przestrzeni lat. To nie jednorazowa metamorfoza, lecz świadomie prowadzona, długoterminowa opieka, w której każdy etap miał znaczenie dla końcowego efektu.
Od ponad 12 lat towarzyszymy Pacjentowi, wspólnie podejmując decyzje i budując rozwiązania, które zapewniają nie tylko estetykę, ale przede wszystkim trwałość i zdrowie. To przykład, jak zaufanie przekłada się na przewidywalne i stabilne rezultaty.
Pierwsze etapy leczenia ujawniły złożony obraz kliniczny:
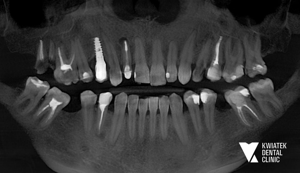
Diagnostyka była prowadzona etapowo z wykorzystaniem tomografii CBCT, skanów wewnątrzustnych oraz dokumentacji radiologicznej i fotograficznej, co pozwoliło na precyzyjne planowanie leczenia w perspektywie długoterminowej.
Plan leczenia nie był jednorazowy – rozwijał się wraz z kolejnymi etapami terapii i potrzebami Pacjenta.
Obejmował:
Leczenie było prowadzone etapowo i konsekwentnie przez lata.
Rozpoczęto od zabiegów chirurgicznych i usunięcia zębów niekwalifikujących się do leczenia. Następnie wdrożono zaawansowane procedury implantologiczne, w tym natychmiastowe implantacje oraz zabiegi augmentacji kości z użyciem biomateriałów.
W przypadku zęba 24 konieczne było ponowne podejście implantologiczne po braku integracji, które zakończyło się powodzeniem. W odcinku przednim zastosowano nowoczesne techniki implantacji natychmiastowej, zapewniające zachowanie estetyki już na etapie leczenia.
Na każdym etapie stosowano rozwiązania tymczasowe, dzięki którym Pacjent mógł funkcjonować komfortowo i bez kompromisów estetycznych.
Równolegle prowadzono leczenie zachowawcze oraz endodontyczne, eliminując ogniska próchnicy i odbudowując zęby. Istotnym elementem była również poprawa higieny jamy ustnej, wsparta profesjonalnymi zabiegami i edukacją.
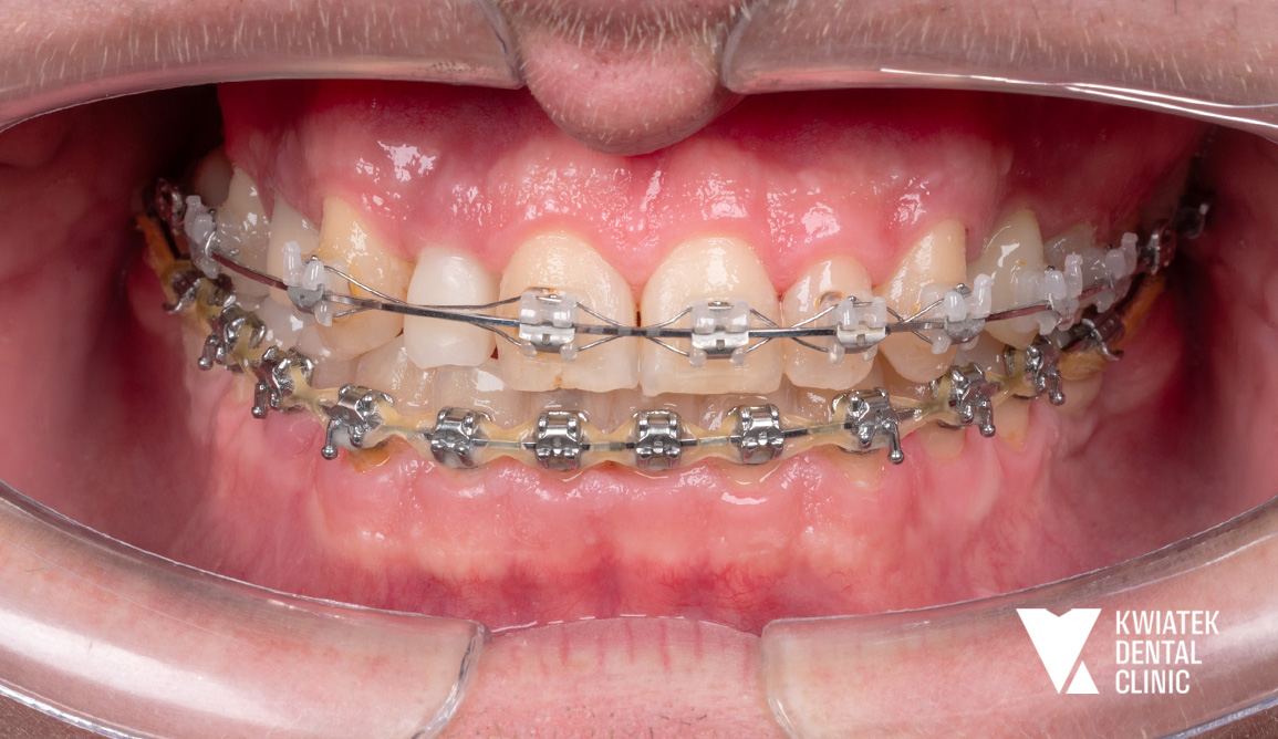
Po odbudowie fundamentów rozpoczęto leczenie ortodontyczne, którego celem była korekta ustawienia zębów i przygotowanie optymalnych warunków dla finalnej estetyki.
Efektem wieloletniej współpracy jest:
To metamorfoza, która nie wydarzyła się w jeden dzień. To historia uśmiechu tworzona wspólnie przez lata, w oparciu o potrzeby Pacjenta i indywidualnie dopasowane rozwiązania terapeutyczne. Nasi specjaliści wspólnie z Pacjentem tworzyli plany leczenia, a ich efekty dziś spotykają się w jednym miejscu podczas wizyt kontrolnych, które są naturalną kontynuacją tej relacji opartej na szacunku i wzajemnym zaufaniu.