Bonding zębów to jedna z najczęściej wybieranych metamorfoz stomatologicznych. Pacjenci chętnie decydują się na ten zabieg, aby szybko poprawić kształt, kolor lub drobne niedoskonałości zębów. Dzięki bondingowi można osiągnąć naturalny efekt bez konieczności szlifowania zębów.


PRZED
PO
PRZED
PO

Najpierw zdrowie. Potem ortodoncja - stabilne warunki jamy ustnej jako fundament metamorfozy

Pacjent przez kilka lat pozostawał pod opieką kliniki, realizując etapowe leczenie zachowawcze i profilaktyczne, którego celem było pełne ustabilizowanie stanu jamy ustnej. Po zakończeniu leczenia próchnicy, ekstrakcjach zębów mądrości oraz zabiegach profilaktycznych – świadomie i w odpowiednim momencie – podjął decyzję o leczeniu ortodontycznym. Efektem kompleksowej terapii jest uśmiech będący zwieńczeniem lat świadomych decyzji, precyzyjnego planowania i konsekwentnego leczenia.

PRZED
PO
PRZED
PO

Koordynacja leczenia kilku specjalistów - uśmiech zaplanowany od A do Z

Pacjentka zgłosiła się z licznymi ubytkami, znacznym starciem zębów oraz objawami przeciążenia zgryzu wynikającymi z wieloletniego zaciskania i zgrzytania. Po pełnej diagnostyce przeprowadzono higienizację, leczenie zachowawcze, endodontyczne i szynoterapię, a następnie ortodoncję oraz finalną odbudowę estetyczno-protetyczną wszystkich startych powierzchni zębów. Efektem jest stabilny, zdrowy zgryz, prawidłowa praca stawów oraz harmonijny, trwały i estetyczny uśmiech Pacjentki.

PRZED
PO
PRZED
PO

Precyzja, plan i efekt - metamorfoza uśmiechu w nowoczesnej stomatologii

Pacjentka zgłosiła się do naszej kliniki z licznymi problemami stomatologicznymi: rozległą próchnicą, koniecznością powtórnego leczenia endodontycznego oraz brakami zębowymi wpływającymi na estetykę i funkcję żucia

 Zastosowano kompleksowy, wieloetapowy plan obejmujący higienizację,wybielanie, leczenie zachowawcze, implantologię, ortodoncję oraz protetykę. Efektem jest w pełni funkcjonalny, estetyczny i zdrowy uśmiech Pacjentki.

PRZED
PO
PRZED
PO

Od szparowatości do harmonii - spektakularna transformacja uśmiechu

Pacjentka zgłosiła się z brakami zębowymi w żuchwie, licznymi nieszczelnymi wypełnieniami oraz szparowatością, która wpływała zarówno na funkcję, jak i wygląd uśmiechu. Po szczegółowej diagnostyce wdrożono wieloetapowy plan, obejmujący higienizację, leczenie zachowawcze, implanty, leczenie ortodontyczne oraz estetyczną odbudowę przedniego odcinka. Zakończeniem terapii była rekonstrukcja kompozytowa i protetyczna, dzięki której Pacjentka uzyskała naturalny, proporcjonalny i zdrowy uśmiech.

PRZED
PO
PRZED
PO

Stabilny zgryz, piękny uśmiech - implanty 15, 25, 36 i remodeling zębów przednich

Pacjentka zgłosiła się do naszej kliniki z problemem zniszczonych zębów trzonowych i przewlekłych stanów zapalnych oraz z niezadowoleniem z estetyki uśmiechu. Po szczegółowej diagnostyce wykonano ekstrakcje zębów 17, 26 i 37, wszczepiono trzy implanty systemu MIS C1 w pozycjach 15, 25 i 36 z użyciem szablonów chirurgicznych, a następnie odbudowano zgryz i estetykę za pomocą koron pełnoceramicznych oraz kompozytowego bondingu z zastosowaniem techniki flow injection. Dziś Pacjentka cieszy się stabilnym zgryzem, komfortem żucia i harmonijnym, odświeżonym uśmiechem.

PRZED
PO
PRZED
PO

Kompleksowa przemiana: ortodoncja, protetyka i estetyka w jednej terapii

Do naszej kliniki zgłosił się Pacjent z rozległymi problemami stomatologicznymi - od złej higieny i stany zapalne, aż po złożoną wadę zgryzu wpływającą na estetykę i funkcję. Po wykonaniu pełnej diagnostyki wprowadzono wieloetapowy plan leczenia: higienizacje, leczenie zachowawcze, endodontyczne, ekstrakcje, rozbudowane leczenie ortodontyczne z zastosowaniem miniimplantów oraz finalną odbudowę estetyczną metodą flow injection.
Efektem jest harmonijny, jasny i zdrowy uśmiech oraz stabilna, fizjologiczna okluzja.

PRZED
PO
PRZED
PO

Metamorfoza z precyzją - od diagnostyki do finalnej estetyki

Pacjent zgłosił się z problemami funkcjonalnymi i estetycznymi – licznymi wtórnymi ubytkami, starciem zębów oraz koniecznością usunięcia jednego z zębów w odcinku przednim. Po wykonaniu pełnej diagnostyki wdrożono plan kompleksowej odbudowy, obejmujący implantację, liczne wypełnienia, rekonstrukcję protetyczną i remodeling kompozytowy. Zakończone leczenie pozwoliło uzyskać naturalny, zrównoważony uśmiech oraz pełną funkcjonalność, które Pacjent odczuwa na co dzień.

PRZED
PO
PRZED
PO

Sztuka rekonstrukcji – precyzyjne odtworzenie naturalnego uśmiechu

Pacjent zgłosił się do naszej kliniki z licznymi brakami zębowymi, obniżoną wysokością zgryzu oraz nieprawidłowościami w dotychczasowych uzupełnieniach protetycznych.

Po wykonaniu pełnej diagnostyki wdrożono kompleksowy plan leczenia obejmujący higienizację, ekstrakcje, wszczepienie implantów w szczęce i żuchwie, rekonstrukcję kompozytową oraz wykonanie prac pełnoceramicznych i mostów na implantach. Finalnie Pacjent uzyskał stabilny, estetyczny i funkcjonalny uśmiech, który został w pełni zaakceptowany zarówno pod względem komfortu gryzienia, jak i wyglądu.

 

PRZED
PO
PRZED
PO

Każdy etap miał znaczenie – efekt współpracy, cierpliwości i pasji leczenia to uśmiech doskonały!

Do naszej kliniki zgłosił się Pan Mirosław – niezwykle pogodny i cierpliwy Pacjent, który od dłuższego czasu zmagał się z wieloma problemami stomatologicznymi. Doskwierał mu głęboki zgryz, bóle w okolicy stawu skroniowo-żuchwowego, szumy uszne, a także braki zębowe i zniszczone wypełnienia, które utrudniały codzienne funkcjonowanie.

Po dokładnej diagnostyce i rozmowie o oczekiwaniach Pana Mirosława, opracowaliśmy kompleksowy plan leczenia obejmujący m.in. szynoterapię, ekstrakcje, implantacje, powtórne leczenia kanałowe oraz pełną odbudowę protetyczną.

Dzięki konsekwentnej współpracy, cierpliwości Pana Mirosława i zaangażowaniu całego zespołu, krok po kroku udało się przywrócić stabilny zgryz, estetyczny uśmiech i pełen komfort żucia.
To przykład metamorfozy, w której cierpliwość Pacjenta i pasja leczenia połączyły się w doskonałym efekcie – zdrowym, naturalnym i pięknym uśmiechu.

PRZED
PO
PRZED
PO

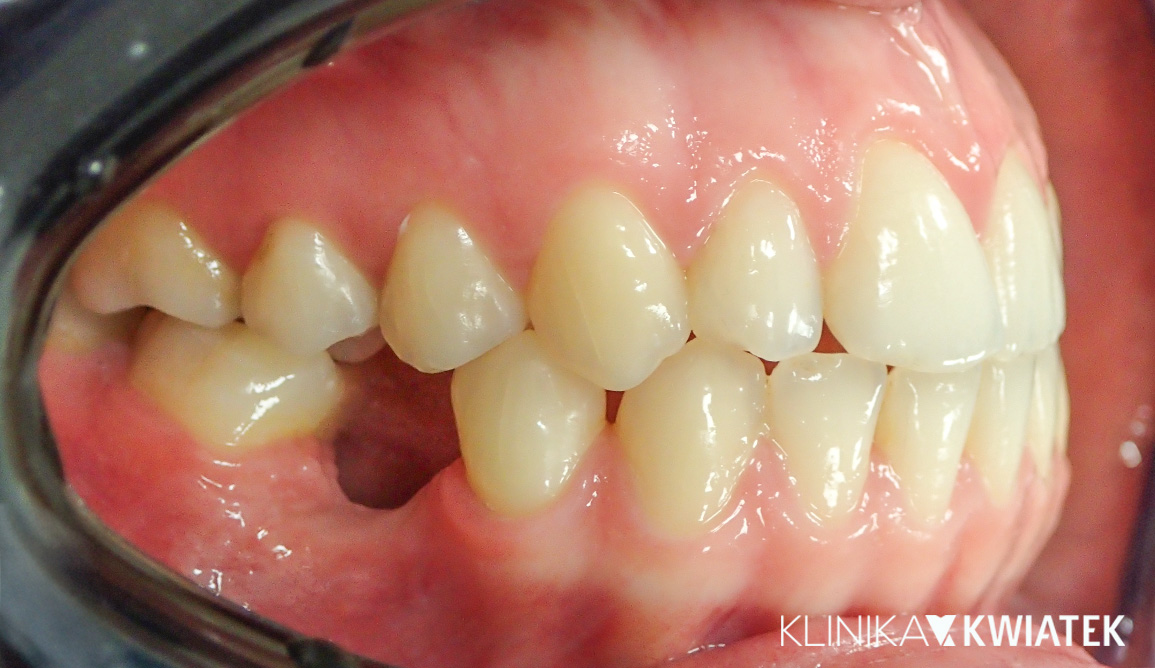
Kompleksowa transformacja uśmiechu po leczeniu ortodontycznym

Pacjentka zgłosiła się do kliniki po zakończeniu leczenia ortodontycznego nakładkami w innym gabinecie, w celu odbudowy brakującego zęba trzonowego. Po szczegółowej diagnostyce zaplanowano leczenie implantologiczne, protetyczne oraz periodontologiczne. Dzięki precyzyjnej pracy zespołu specjalistów uzyskano pełną odbudowę estetyki i funkcji – naturalny, harmonijny uśmiech oraz zdrowe, stabilne przyzębie.

Masz pytania?
Chcesz umówić się na wizytę?
Zadzwoń do nas