PRZED
PO

Kompleksowa odbudowa obu łuków zębowych na implantach

Pełna metamorfoza uśmiechu u Pacjenta, który dotąd korzystał z częściowej protezy. W łuku górnym wykonano odbudowę All-on-6, a dolny łuk zrekonstruowano za pomocą mostów na implantach i koron pełnoceramicznych. Efekt? Naturalny, stabilny uśmiech, który przywrócił pewność siebie i komfort na co dzień.

PRZED
PO
PRZED
PO

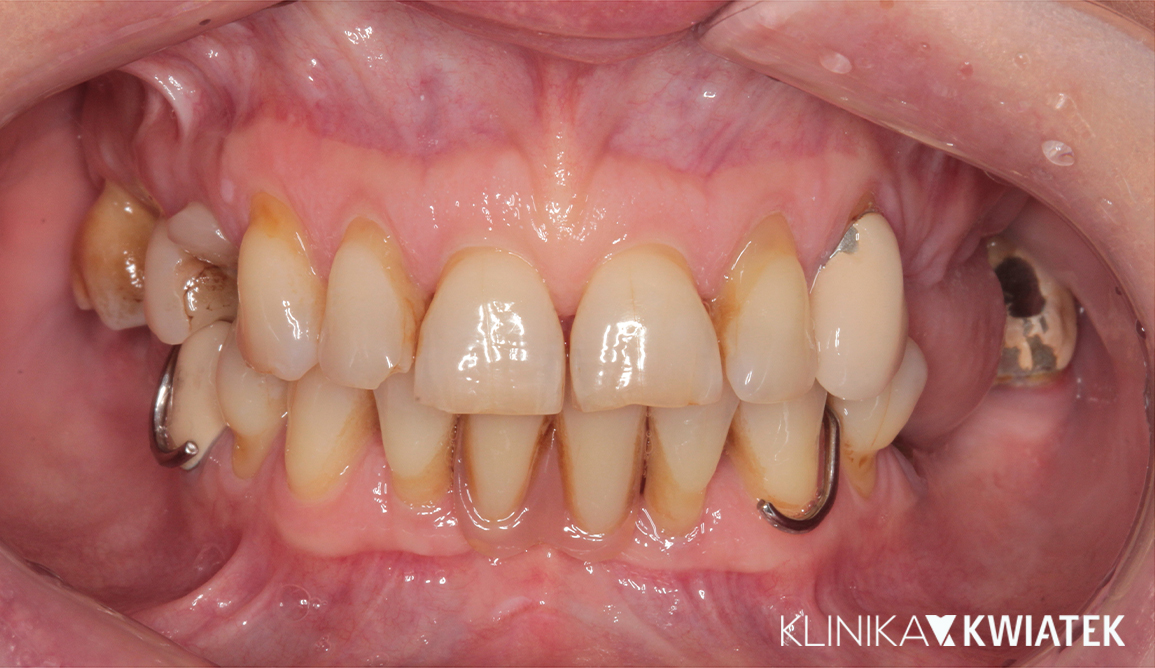
Metamorfoza, która zmienia wszystko - implanty, regeneracja i ortodontyczne dopracowanie detali

Pacjent zgłosił się z zaawansowanymi problemami stomatologicznymi, które znacząco wpływały na codzienne funkcjonowanie i estetykę uśmiechu - ruchomością zębów, rozległymi brakami zębowymi oraz wyraźnym zanikiem kości. Sytuacja ta wykluczała możliwość zastosowania standardowych rozwiązań protetycznych i wymagała kompleksowego, wieloetapowego podejścia. Dzięki połączeniu nowoczesnej implantologii, zaawansowanej regeneracji tkanek oraz precyzyjnego leczenia ortodontycznego udało się całkowicie odbudować funkcję, stabilność i harmonię uśmiechu, tworząc uśmiech, który wygląda naturalnie, działa bez ograniczeń i pozostaje stabilny przez lata.

PRZED
PO
PRZED
PO

Pełnołukowa odbudowa na implantach - spektakularna zmiana funkcji i estetyki

Pacjent zgłosił się do kliniki z zaawansowanymi problemami periodontologicznymi, licznymi stanami zapalnymi, brakami zębowymi oraz znaczną nadwrażliwością. Po kompleksowej diagnostyce i etapowym leczeniu przygotowawczym przeprowadzono pełnołukową odbudowę szczęki opartą na implantach oraz implantację w odcinku bocznym żuchwy. Efektem jest stabilna, estetyczna i funkcjonalna rekonstrukcja uzębienia, znacząco poprawiająca komfort życia Pacjenta.

PRZED
PO
PRZED
PO

Od bezzębia do stabilnego uśmiechu - podparta implantami praca na belkach w szczęce i żuchwie

Pacjent od prawie 20 lat funkcjonował z bezzębiem w szczęce i zębami o III stopniu ruchomości w żuchwie. Nie akceptował tradycyjnej protezy całkowitej górnej ze względu na silny odruch wymiotny i brak stabilności. W oparciu o szczegółową diagnostykę zaplanowano i przeprowadzono kompleksowe leczenie implantologiczno-protetyczne z wykorzystaniem szablonów chirurgicznych, wieloetapowej pracy protetycznej oraz protez typu overdenture na belkach tytanowych w szczęce i żuchwie, przywracając Pacjentowi komfort żucia i pewny uśmiech.

PRZED
PO
PRZED
PO

Metamorfoza Pacjenta: od zaawansowanej choroby przyzębia do stabilnego, estetycznego uśmiechu

Pacjent zgłosił się z zaawansowaną chorobą przyzębia oraz znaczną ruchomością resztkowego uzębienia, co utrudniało żucie, mówienie i swobodny uśmiech, a tym samym obniżało pewność siebie. Po dokładnej diagnostyce wdrożono leczenie etapowe obejmujące ekstrakcje, implantację oraz rekonstrukcję protetyczną z wykorzystaniem belek tytanowych. Efektem końcowym jest stabilne, estetyczne i w pełni funkcjonalne uzębienie, które przywróciło Pacjentowi komfort i pewność w codziennym życiu.

PRZED
PO
PRZED
PO

Od choroby przyzębia do pełnego uśmiechu — metamorfoza Pacjentki z wykorzystaniem technologii All-on-4

Pacjentka zgłosiła się z zaawansowaną chorobą przyzębia i znacznym zanikiem kości, co prowadziło do utraty wielu zębów. Po dokładnej diagnostyce wdrożono etapowe leczenie chirurgiczno-implantoprotetyczne z wykorzystaniem systemu MIS C1 oraz protezy szkieletowej. Efektem jest pełna odbudowa estetyki i funkcji żucia — komfort, stabilność i piękny, naturalny uśmiech.

PRZED
PO
PRZED
PO

All-on-X i proteza na belce – kompleksowa odbudowa uśmiechu z gwarancją stabilności, estetyki i komfortu

Pacjentka zgłosiła się do naszej kliniki z resztkowym uzębieniem własnym i trudnościami w użytkowaniu dotychczasowych protez, które były nieszczelne i niestabilne. Po dokładnej diagnostyce zaplanowaliśmy kompleksowe leczenie implantologiczne: wszczepienie implantów w szczęce i żuchwie, odbudowę mostem typu All-on-X w szczęce oraz protezą overdenture na belce w żuchwie. Dzięki precyzyjnej pracy naszego zespołu i nowoczesnym technologiom Pacjentka odzyskała piękny, naturalny uśmiech oraz pełen komfort jedzenia i mówienia każdego dnia.

PRZED
PO
PRZED
PO

Odbudowy pełnołukowe na implantach w szczęce i żuchwie

Pan Krzysztof marzył o uśmiechu, który da mu pewność siebie i komfort życia – bez protez, bez kompromisów. Zakwalifikowano go do pełnołukowej odbudowy uśmiechu na implantach (All-on-6 / All-on-X), z natychmiastowym efektem estetycznym już tego samego dnia. Całość leczenia, od pierwszej wizyty po osadzenie ostatecznej pracy protetycznej, udało się zrealizować w zaledwie 4 miesiące. Efekt? Naturalny, trwały i piękny uśmiech, który wymaga teraz tylko jednej rzeczy – systematycznej higieny i kontroli, by cieszył przez długie lata.

PRZED
PO
PRZED
PO

Implanty zamiast protezy –metamorfoza z wykorzystaniem technologii all-on-6

Pacjentka zgłosiła się do naszej kliniki z rozległymi problemami przyzębia i znaczną ruchomością zębów, które uniemożliwiały komfortowe jedzenie i swobodny uśmiech. Dodatkowym utrudnieniem była ruchoma proteza, ograniczająca codzienne funkcjonowanie. Po kompleksowej diagnostyce wdrożono plan leczenia implantoprotetycznego obejmujący ekstrakcje, augmentacje i odbudowę całych łuków zębowych. Finalnie wykonano prace przykręcane na implantach w szczęce i żuchwie, przywracając pełną estetykę uśmiechu oraz funkcję żucia.

PRZED
PO
PRZED
PO

Technologia i troska – wspólna droga do zdrowego uśmiechu!

Jeszcze niedawno nasza pacjentka Pani Magdalena zmagała się z bezzębiem i ruchomymi protezami, które odbierały jej pewność siebie i komfort każdego dnia. Dzięki kompleksowemu leczeniu implantologicznemu i cyfrowej odbudowie protetycznej odzyskała nie tylko pełną funkcjonalność, ale przede wszystkim piękny, naturalny uśmiech. Dziś cieszy się nową jakością życia – bez kompromisów, bez ograniczeń, z uśmiechem pełnym blasku!

Masz pytania?
Chcesz umówić się na wizytę?
Zadzwoń do nas