Zastanawiasz się, jak wygląda uśmiech przed i po aparacie ortodontycznym?
Bez względu na to, czy był to aparat ruchomy, stały estetyczny czy klasyczny aparat na zęby – dobrze zaplanowane leczenie ortodontyczne prowadzi do realnej zmiany wyglądu twarzy i zgryzu.


Nowość!
PRZED
PO
PRZED
PO

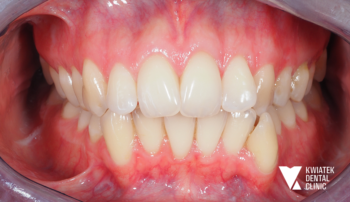
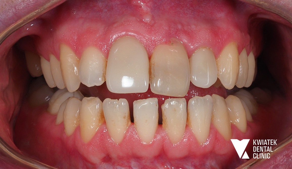
Zaufanie budowane latami tworzy historię uśmiechu Pana Rafała

Pan Rafał jest naszym Pacjentem od ponad 12 lat, a jego historia to przykład leczenia opartego na zaufaniu, konsekwencji i długofalowym podejściu do zdrowia. Zgłosił się z rozległymi problemami obejmującymi zniszczone zęby, braki oraz zaburzenia zgryzu, wymagające kompleksowego leczenia. Dzięki wieloetapowej terapii stworzyliśmy stabilny, funkcjonalny i estetyczny uśmiech, który jest efektem wspólnej pracy na przestrzeni lat.

PRZED
PO
PRZED
PO

Spektakularna metamorfoza zgryzu dzięki leczeniu ortodontycznemu wspomaganemu ortognatyką prowadzonemu przez naszych ekspertów

Pani Anastazja zgłosiła się do naszej kliniki z zaawansowaną wadą szkieletową, obejmującą tyłożuchwie, zgryz otwarty oraz znaczne stłoczenia zębów, pomimo wcześniejszego leczenia ortodontycznego. Przeprowadzono kompleksową terapię łączącą ortodoncję, leczenie czynnościowe oraz chirurgię ortognatyczną. Efektem jest nie tylko prawidłowy zgryz, ale także wyraźna poprawa estetyki twarzy i komfortu życia.

Nowość!
PRZED
PO
PRZED
PO

Ortodoncja jako fundament pięknego uśmiechu

Pacjentka zgłosiła się do kliniki z potrzebą poprawy estetyki uśmiechu, jednak diagnostyka wykazała rozległe problemy wymagające kompleksowego leczenia. Terapia rozpoczęła się od pełnej sanacji jamy ustnej i leczenia chirurgicznego, a następnie zostało wdrożone leczenie ortodontyczne. Efektem jest zdrowy, harmonijny uśmiech oraz prawidłowa funkcja zgryzu osiągnięta dzięki holistycznemu podejściu naszych specjalistów. 

PRZED
PO
PRZED
PO

Kilka specjalizacji, jeden cel. Perfekcyjnie zaplanowana metamorfoza uśmiechu

Pan Jakub zgłosił się do kliniki z wadą zgryzu oraz licznymi problemami wynikającymi z nieprawidłowego ustawienia zębów. Leczenie wymagało współpracy specjalistów z kilku dziedzin stomatologii, precyzyjnego planowania oraz konsekwentnej realizacji kolejnych etapów terapii.

Dzięki ogromnej determinacji Pacjenta, który pomimo dużej odległości regularnie przyjeżdżał na zaplanowane wizyty, możliwe było przeprowadzenie kompleksowego leczenia, którego efektem jest doskonale zbalansowany zgryz oraz spektakularna i w pełni naturalna metamorfoza uśmiechu.

PRZED
PO
PRZED
PO

Uśmiech odzyskany – od kompleksowej terapii do naturalnego efektu!

Do naszej kliniki zgłosiła się Pacjentka, która w przeszłości była już leczona ortodontycznie. Mimo wcześniejszego leczenia wciąż zmagała się z brakiem górnej dwójki oraz przesuniętą linią pośrodkową, co wpływało zarówno na estetykę uśmiechu, jak i na prawidłową funkcję zgryzu.
Postawiliśmy na kompleksowe podejście – połączyliśmy leczenie ortodontyczne, implantologiczne oraz protetyczne. Dzięki temu udało się uzyskać harmonijny, pełen blasku uśmiech oraz prawidłowe warunki zgryzowe.
Efekt końcowy? Naturalna estetyka, piękny uśmiech i komfort, który daje Pacjentce pełną satysfakcję.

Nowość!
PRZED
PO
PRZED
PO

Metamorfoza wymagająca precyzji: ortodoncja, implanty i estetyka

Pacjent zgłosił się z licznymi problemami stomatologicznymi, w tym powikłaniami po wcześniejszym leczeniu ortodontycznym, resorpcjami zębów oraz brakami zębowymi. Leczenie wymagało kompleksowego podejścia obejmującego diagnostykę CBCT, leczenie zachowawcze, endodontyczne, ortodontyczne oraz implantologiczne. Efektem jest stabilna odbudowa funkcji zgryzu i estetyczny, naturalny uśmiech.

PRZED
PO
PRZED
PO

Nowa przestrzeń dla zębów: precyzyjna korekta kła i harmonijna linia łuku

Pacjentka zgłosiła się z wadą zgryzu obejmującą stłoczenia w obu łukach, brak miejsca dla zęba 43 oraz zaburzoną symetrię. Leczenie poprzedzono kompleksową diagnostyką i przygotowaniem higienicznym, a następnie przeprowadzono terapię z wykorzystaniem aparatu Damon Ultima oraz monitoringu cyfrowego. Efektem jest prawidłowe ustawienie zębów, przywrócona funkcja i estetyczna, harmonijna linia uśmiechu.

PRZED
PO
PRZED
PO

Nowoczesna, wieloetapowa ortodoncja bez ekstrakcji u młodego Pacjenta wsparta mikroimplantami

Pacjent zgłosił się na konsultację ortodontyczną z powodu nieprawidłowego ustawienia kła górnego oraz braku miejsca w łuku zębowym. Diagnostyka wykazała m.in. zgryz krzyżowy zęba 12, wychylenie zęba 13 oraz deficyt przestrzeni w szczęce.

Leczenie obejmowało przygotowanie chirurgiczne, zastosowanie systemu Beneslider z miniimplantami ortodontycznymi oraz leczenie aparatem stałym. Dzięki wieloetapowej terapii uzyskano prawidłowe ustawienie zębów, harmonijny zgryz oraz spektakularną poprawę estetyki uśmiechu.

PRZED
PO
PRZED
PO

Od diagnostyki do estetyki - kompleksowa terapia stomatologiczna

Pacjentka zgłosiła się na pierwszą konsultację stomatologiczną z licznymi wypełnieniami wymagającymi wymiany oraz ogniskami próchnicy. Leczenie rozpoczęto od kompleksowej diagnostyki i higienizacji, następnie przeprowadzono leczenie zachowawcze, odbudowę protetyczną zęba oraz zabiegi chirurgiczne, przygotowujące do dalszej terapii. Całość została zwieńczona leczeniem ortodontycznym aparatem nakładkowym oraz wybielaniem zębów, dzięki czemu uzyskano zdrowy, harmonijny i naturalnie estetyczny uśmiech.

PRZED
PO
PRZED
PO

Luksus dyskretnej ortodoncji oparty na zaawansowanej technologii nakładkowej

Pacjentka zgłosiła się do kliniki z potrzebą kompleksowej poprawy zarówno funkcji zgryzu, jak i estetyki uśmiechu. W badaniu stwierdzono zgryz krzyżowy, stłoczenia zębów oraz liczne problemy wymagające leczenia zachowawczego i protetycznego, co wymagało wieloetapowego, interdyscyplinarnego podejścia. Terapię poprzedziło staranne przygotowanie jamy ustnej obejmujące ekstrakcję zębów mądrości, profesjonalną higienizację oraz odbudowę osłabionych struktur. Następnie wdrożono zaawansowane leczenie ortodontyczne z wykorzystaniem nowoczesnego systemu nakładkowego. Rezultatem jest harmonijny, stabilny zgryz, idealnie ukształtowane łuki zębowe oraz wyraźnie odmłodzony, jasny uśmiech, podkreślony profesjonalnym wybielaniem.

Masz pytania?
Chcesz umówić się na wizytę?
Zadzwoń do nas