PRZED
PO
PRZED
PO

Kompleksowa odbudowa uśmiechu – implanty, ortodoncja i protetyka w jednym planie

Pacjent zgłosił się do naszej kliniki z dolegliwościami bólowymi, brakami zębowymi i problemami z estetyką uśmiechu. Po dokładnej diagnostyce zaplanowano kompleksowe leczenie – od ekstrakcji i implantacji, przez leczenie ortodontyczne nakładkami Spark, aż po odbudowę protetyczną i wybielanie.
Efektem jest zdrowy, harmonijny i naturalny uśmiech, który przywrócił Pacjentowi komfort, funkcję i pewność siebie.

PRZED
PO
PRZED
PO

Każdy etap miał znaczenie – efekt współpracy, cierpliwości i pasji leczenia to uśmiech doskonały!

Do naszej kliniki zgłosił się Pan Mirosław – niezwykle pogodny i cierpliwy Pacjent, który od dłuższego czasu zmagał się z wieloma problemami stomatologicznymi. Doskwierał mu głęboki zgryz, bóle w okolicy stawu skroniowo-żuchwowego, szumy uszne, a także braki zębowe i zniszczone wypełnienia, które utrudniały codzienne funkcjonowanie.

Po dokładnej diagnostyce i rozmowie o oczekiwaniach Pana Mirosława, opracowaliśmy kompleksowy plan leczenia obejmujący m.in. szynoterapię, ekstrakcje, implantacje, powtórne leczenia kanałowe oraz pełną odbudowę protetyczną.

Dzięki konsekwentnej współpracy, cierpliwości Pana Mirosława i zaangażowaniu całego zespołu, krok po kroku udało się przywrócić stabilny zgryz, estetyczny uśmiech i pełen komfort żucia.
To przykład metamorfozy, w której cierpliwość Pacjenta i pasja leczenia połączyły się w doskonałym efekcie – zdrowym, naturalnym i pięknym uśmiechu.

PRZED
PO
PRZED
PO

Jak uśmiech pokonał strach – metamorfoza pełna zaufania

Pacjent przez wiele lat unikał wizyt u dentysty z powodu silnego lęku. Strach przed leczeniem sprawił, że w jamie ustnej pojawiły się rozległe zmiany próchnicowe i liczne zęby wymagały ekstrakcji.
Po dokładnej diagnostyce i rozmowie, wiedząc, że Pacjent wyklucza leczenie ortodontyczne, krok po kroku wdrożono kompleksowy plan leczenia – od higienizacji i leczenia zachowawczego, przez zabiegi chirurgiczne i endodontyczne, aż po odbudowę braków zębowych na implantach.
Dziś Pacjent z dumą i spokojem uśmiecha się bez lęku – cieszy się zdrowym, estetycznym uśmiechem, stabilnym zgryzem i doskonałą higieną jamy ustnej.

PRZED
PO

Anatomia, funkcja i punkt styczny – kompleksowa odbudowa trzonowca

Pacjent zgłosił się z głęboką, wtórną próchnicą w zębie 16 oraz utratą szczelności poprzedniego wypełnienia. W znieczuleniu, z izolacją koferdamem i pracą w powiększeniu wykonano pełne oczyszczenie ubytku oraz jego precyzyjną odbudowę nanokompozytem. Ząb odzyskał prawidłowy kształt, idealny punkt styczny, szczelność i funkcję żucia.

PRZED
PO
PRZED
PO

Precyzja i estetyka w jednym –mała zmiana, wielki efekt, odbudowa zęba 15

Pacjentka od pewnego czasu realizuje kompleksowy plan leczenia, przygotowany i wdrażany etapami przez zespół specjalistów naszej kliniki. W ostatnim etapie skupiliśmy się na odbudowie zęba 15, w którym stwierdzono rozległą próchnicę wtórną. Dzięki precyzyjnemu leczeniu pod mikroskopem i zastosowaniu materiałów nanokompozytowych uzyskano doskonały efekt estetyczny i funkcjonalny, przywracając naturalny wygląd i pełną szczelność zęba.

PRZED
PO
PRZED
PO

Nowa harmonia uśmiechu po urazie sprzed lat – historia równowagi i estetyki

Kategoria: Korony i mosty

Pacjentka, obecnie 23-letnia, osiem lat temu doznała urazu siekacza górnego. Ząb został wówczas przeleczony kanałowo i odbudowany koroną, odpowiednią do ówczesnych warunków. Wcześniejsza korona, choć przez lata spełniała swoją funkcję, z czasem utraciła estetyczną równowagę. Z biegiem lat, wraz ze zmianami w tkankach i uśmiechu, praca przestała odpowiadać oczekiwaniom Pacjentki. W naszej klinice  przeprowadzono kompleksową rekonstrukcję, która przywróciła naturalną harmonię, proporcje i blask uśmiechu.

PRZED
PO

Pełna funkcja żucia odzyskana – precyzyjna implantacja w odcinku bocznym

Pacjent zgłosił się z problemem utraty zębów 26 i 36 po rozległych zmianach próchnicowych i złych rokowaniach dalszego leczenia. Po diagnostyce radiologicznej wykonano ekstrakcję zębów, augmentację kości i wszczepienie implantów. Ostatecznie odbudowano oba zęby koronami pełnoceramicznymi, uzyskując naturalny efekt estetyczny i pełną funkcję żucia.

PRZED
PO
PRZED
PO

Kompleksowa transformacja uśmiechu po leczeniu ortodontycznym

Pacjentka zgłosiła się do kliniki po zakończeniu leczenia ortodontycznego nakładkami w innym gabinecie, w celu odbudowy brakującego zęba trzonowego. Po szczegółowej diagnostyce zaplanowano leczenie implantologiczne, protetyczne oraz periodontologiczne. Dzięki precyzyjnej pracy zespołu specjalistów uzyskano pełną odbudowę estetyki i funkcji – naturalny, harmonijny uśmiech oraz zdrowe, stabilne przyzębie.

PRZED
PO
PRZED
PO

Precyzja w każdym detalu – leczenie nakładkowe Spark i odbudowa estetyczna zębów

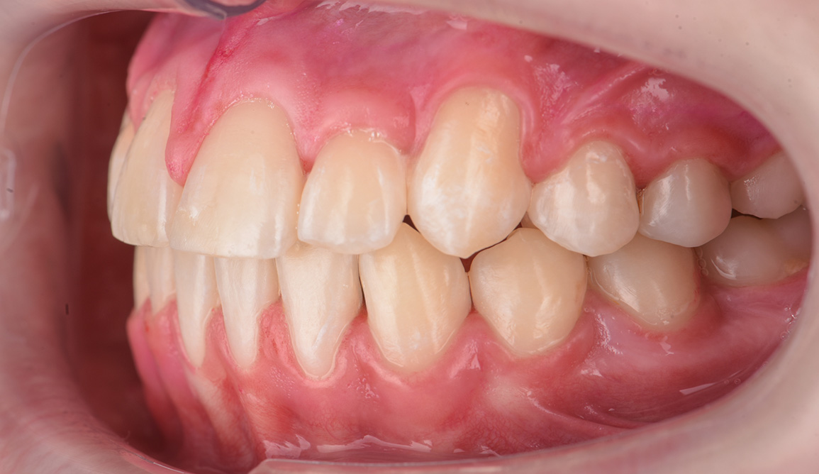
Pacjentka zgłosiła się z problemem stłoczenia zębów, zgryzu krzyżowego i asymetrii linii pośrodkowej. Po szczegółowej diagnostyce wdrożono leczenie nakładkami Spark, które przywróciło prawidłowe ustawienie zębów i symetrię uśmiechu. Zwieńczeniem terapii była odbudowa estetyczna metodą flow injection oraz wydłużenie koron klinicznych – efekt to naturalny, harmonijny uśmiech o zdrowym i jasnym odcieniu.

PRZED
PO
PRZED
PO

Synergia ortodoncji i implantologii – przykład leczenia zintegrowanego

Pacjent zgłosił się do naszej kliniki w trakcie trwającego leczenia ortodontycznego prowadzonego w innej placówce. Celem była rekonstrukcja brakujących zębów siecznych bocznych w odcinku górnym (12 i 22). Po dokładnej diagnostyce zaplanowano i wykonano zabieg implantacji z augmentacją kości w technologii cyfrowej, a następnie odbudowę koronami ceramicznymi na indywidualnych łącznikach cyrkonowych. Efekt – naturalny, symetryczny uśmiech i pełna harmonia zębów po zakończonej ortodoncji.

Masz pytania?
Chcesz umówić się na wizytę?
Zadzwoń do nas