Nowość!
PRZED
PO
PRZED
PO

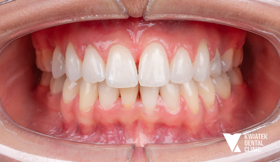
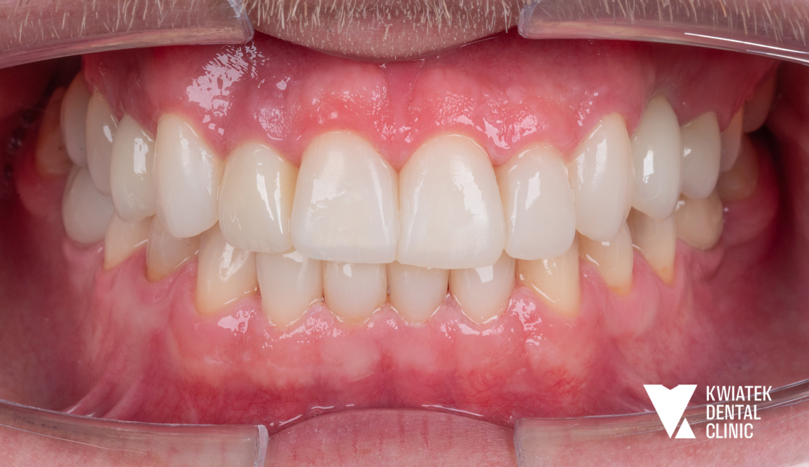
Zaufanie budowane latami tworzy historię uśmiechu Pana Rafała

Pan Rafał jest naszym Pacjentem od ponad 12 lat, a jego historia to przykład leczenia opartego na zaufaniu, konsekwencji i długofalowym podejściu do zdrowia. Zgłosił się z rozległymi problemami obejmującymi zniszczone zęby, braki oraz zaburzenia zgryzu, wymagające kompleksowego leczenia. Dzięki wieloetapowej terapii stworzyliśmy stabilny, funkcjonalny i estetyczny uśmiech, który jest efektem wspólnej pracy na przestrzeni lat.

PRZED
PO
PRZED
PO

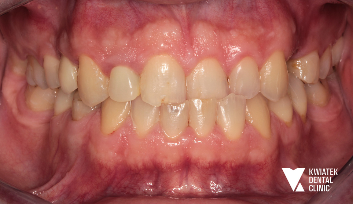
Spektakularna metamorfoza zgryzu dzięki leczeniu ortodontycznemu wspomaganemu ortognatyką prowadzonemu przez naszych ekspertów

Pani Anastazja zgłosiła się do naszej kliniki z zaawansowaną wadą szkieletową, obejmującą tyłożuchwie, zgryz otwarty oraz znaczne stłoczenia zębów, pomimo wcześniejszego leczenia ortodontycznego. Przeprowadzono kompleksową terapię łączącą ortodoncję, leczenie czynnościowe oraz chirurgię ortognatyczną. Efektem jest nie tylko prawidłowy zgryz, ale także wyraźna poprawa estetyki twarzy i komfortu życia.

Nowość!
PRZED
PO
PRZED
PO

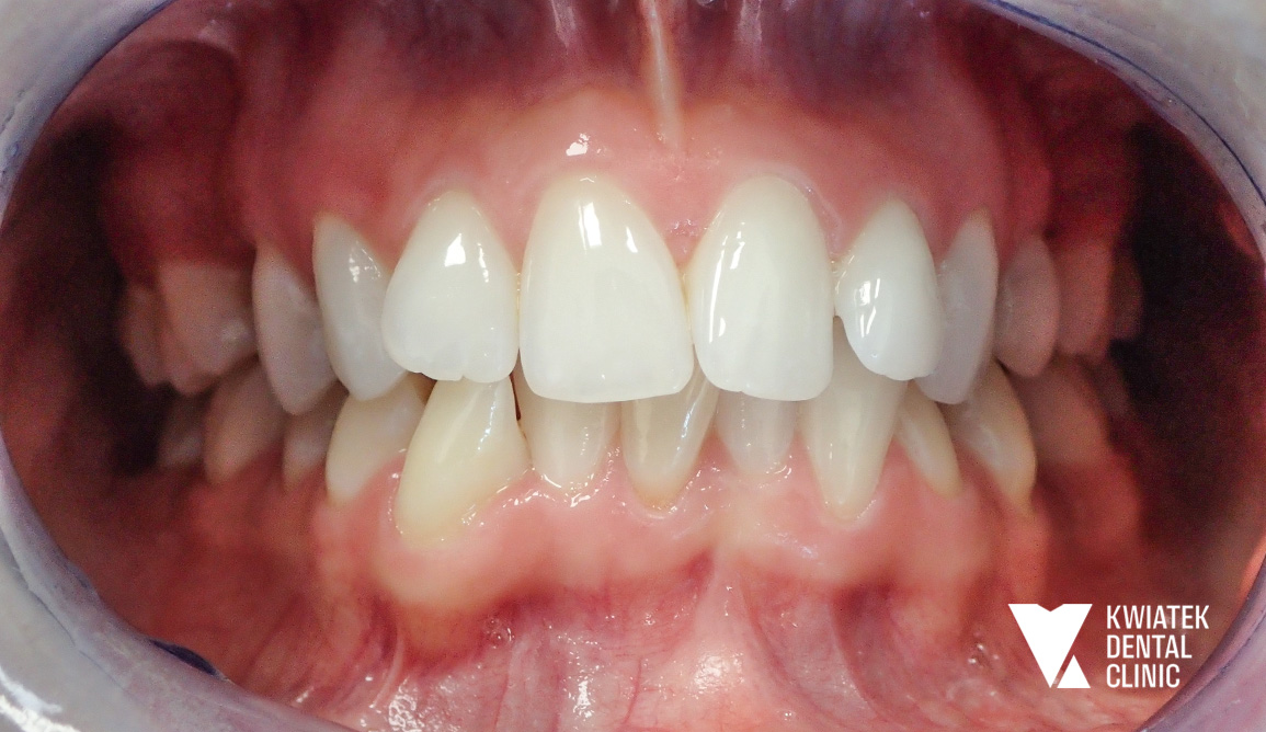
Ortodoncja jako fundament pięknego uśmiechu

Pacjentka zgłosiła się do kliniki z potrzebą poprawy estetyki uśmiechu, jednak diagnostyka wykazała rozległe problemy wymagające kompleksowego leczenia. Terapia rozpoczęła się od pełnej sanacji jamy ustnej i leczenia chirurgicznego, a następnie zostało wdrożone leczenie ortodontyczne. Efektem jest zdrowy, harmonijny uśmiech oraz prawidłowa funkcja zgryzu osiągnięta dzięki holistycznemu podejściu naszych specjalistów. 

PRZED
PO
PRZED
PO

Kilka specjalizacji, jeden cel. Perfekcyjnie zaplanowana metamorfoza uśmiechu

Pan Jakub zgłosił się do kliniki z wadą zgryzu oraz licznymi problemami wynikającymi z nieprawidłowego ustawienia zębów. Leczenie wymagało współpracy specjalistów z kilku dziedzin stomatologii, precyzyjnego planowania oraz konsekwentnej realizacji kolejnych etapów terapii.

Dzięki ogromnej determinacji Pacjenta, który pomimo dużej odległości regularnie przyjeżdżał na zaplanowane wizyty, możliwe było przeprowadzenie kompleksowego leczenia, którego efektem jest doskonale zbalansowany zgryz oraz spektakularna i w pełni naturalna metamorfoza uśmiechu.

PRZED
PO
PRZED
PO

Naturalne piękno w pełnym wymiarze kobiecej metamorfozy

Pani Izabela zgłosiła się do naszej kliniki po urazie, który pozbawił Ją nie tylko zęba w strefie uśmiechu, lecz także komfortu codziennego życia. Towarzysząca proteza ruchoma stanowiła rozwiązanie tymczasowe, obce, nienaturalne i nieestetyczne, dlatego Pacjentka poszukiwała metody trwałej oraz maksymalnie zbliżonej do naturalnego uzębienia. Jej celem było odzyskanie uśmiechu harmonijnego, subtelnego i w pełni dopasowanego do rysów twarzy, bez konieczności stosowania uzupełnień ruchomych. Dzięki kompleksowemu, wieloetapowemu leczeniu obejmującemu natychmiastową implantację, zaawansowaną chirurgię oraz pełną rehabilitację protetyczną całej jamy ustnej udało się przywrócić harmonię, funkcję i piękno, które wyglądają tak naturalnie, jakby nigdy nie zostały utracone.

PRZED
PO
PRZED
PO

Kobieca harmonia - naturalna metamorfoza pełna światła i finezji

Pani Hanna zgłosiła się z uśmiechem naznaczonym wieloletnimi wypełnieniami, przebytym leczeniem ortodontycznym oraz zaburzoną funkcją zgryzu. Po kompleksowej diagnostyce, starannym przygotowaniu tkanek i profesjonalnym wybielaniu wykonano precyzyjny remodeling zębów metodą flow injection, który przywrócił naturalne proporcje, świetlistość i harmonię łuków zębowych. Rezultatem jest metamorfoza subtelna, a zarazem wyraźnie odmieniająca wyraz twarzy, uśmiech jasny, elegancki i w pełni naturalny, podkreślający kobiecą delikatność oraz ponadczasową estetykę.

PRZED
PO
PRZED
PO

Uśmiech odzyskany – od kompleksowej terapii do naturalnego efektu!

Do naszej kliniki zgłosiła się Pacjentka, która w przeszłości była już leczona ortodontycznie. Mimo wcześniejszego leczenia wciąż zmagała się z brakiem górnej dwójki oraz przesuniętą linią pośrodkową, co wpływało zarówno na estetykę uśmiechu, jak i na prawidłową funkcję zgryzu.
Postawiliśmy na kompleksowe podejście – połączyliśmy leczenie ortodontyczne, implantologiczne oraz protetyczne. Dzięki temu udało się uzyskać harmonijny, pełen blasku uśmiech oraz prawidłowe warunki zgryzowe.
Efekt końcowy? Naturalna estetyka, piękny uśmiech i komfort, który daje Pacjentce pełną satysfakcję.

PRZED
PO
PRZED
PO

Licówki, implanty i cyfrowy projekt - precyzyjna odbudowa przy braku zawiązków zębów

Pani Ania zgłosiła się do naszej kliniki z wrodzonym brakiem zawiązków siekaczy bocznych, który od lat wpływał na proporcje uśmiechu i pewność siebie. Po utracie dotychczasowej pracy tymczasowej podjęła decyzję o trwałej metamorfozie. Zastosowano leczenie implantologiczne, cyfrowy projekt uśmiechu (DSD), koronę na implancie, licówki, zabiegi periodontologiczne oraz odbudowy w pełni cyfrowym protokole. Efekt? Naturalny, harmonijny uśmiech, który wydobył jej urodę i realnie zmienił jakość życia.

PRZED
PO
PRZED
PO

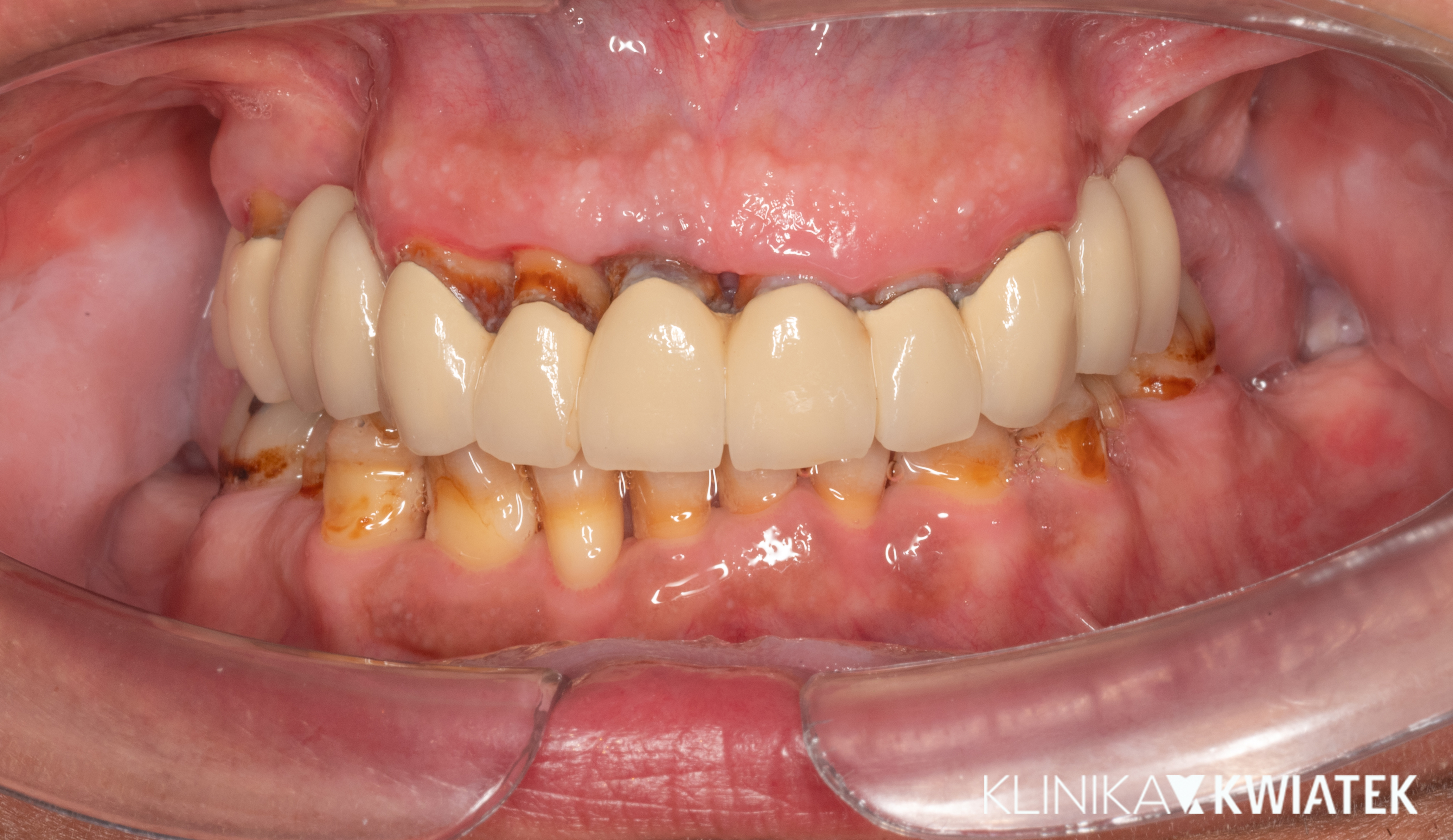
Kompleksowa odbudowa obu łuków zębowych na implantach

Pełna metamorfoza uśmiechu u Pacjenta, który dotąd korzystał z częściowej protezy. W łuku górnym wykonano odbudowę All-on-6, a dolny łuk zrekonstruowano za pomocą mostów na implantach i koron pełnoceramicznych. Efekt? Naturalny, stabilny uśmiech, który przywrócił pewność siebie i komfort na co dzień.

PRZED
PO
PRZED
PO

Kluczowy ząb, kluczowa zmiana - Estetyka premium - Re-endo i korona pełnoceramiczna zęba 11 w roli głównej

Nicolaas to nasz stały Pacjent – zawsze uśmiechnięty, serdeczny i niezwykle wdzięczny, a praca z nim to czysta przyjemność. Jednym z ważnych etapów jego kompleksowego leczenia okazał się problematyczny siekacz 11, który wyraźnie zaburzał harmonię jego uśmiechu i wymagał wyjątkowo precyzyjnej interwencji. Dzięki zaawansowanemu leczeniu pod mikroskopem oraz perfekcyjnie zaprojektowanej odbudowie protetycznej ten kluczowy ząb odzyskał swoją funkcję i naturalne piękno, a uśmiech Pacjenta znów prezentuje się harmonijnie i zdrowo.     

Masz pytania?
Chcesz umówić się na wizytę?
Zadzwoń do nas